Dubai · 2010

A smile begins with a breath.

Redefining orthodontics through simplicity — fusing advanced aligner
expertise with transformative breathwork.

Scroll

The Practice

Precision Aligners

15+ years crafting smiles through digital orthodontics and aesthetic precision.

15+Years
Smiles

Breathwork

Breathe.

Inhale · Hold · Exhale

500-Hour RYT certified. Conscious breathing that harmonises body, airway, and mind.

Oval Dental Clinic · Business Bay

Align. Breathe. Balance.

A journey from smile to soul — where dentistry meets awareness.

Begin Your Journey

The Doctor

"

A journey from
smile to soul.

"

Dr. Amit
Asudani

Orthodontist Breathwork Coach Storyteller

Dr. Amit Asudani began his journey in Dubai in 2010 — a city of ambition, where precision meets performance. Armed with a Master's in Orthodontics & Dento-Facial Orthopedics, he spent over a decade refining smiles through digital orthodontics, aesthetic precision, and mindful care.

But the story didn't stop at the smile. Years of clinical experience across Dubai and Amsterdam led Dr. Amit to a deeper question — what if the breath could heal what the aligner couldn't? That curiosity became a calling.

Today, at Oval Dental Clinic, he bridges modern dental innovation with the art of conscious breathing — guiding patients toward both functional and aesthetic balance. A philosophy as ancient as it is clinical. A practice as precise as it is human.

2010 Began practice in Dubai
2015+ Amsterdam clinical experience
2020+ 500-Hour RYT Yoga Certification
Now Oval Dental Clinic · Business Bay
Dr. Amit Asudani DA
15+ Years of Practice
500hr Yoga & Breathwork
Master's Degree Orthodontics & Dento-Facial Orthopedics
500-Hour RYT Registered Yoga Teacher Certification
Global Experience Dubai & Amsterdam · 15+ Years
Holistic Approach Science · Breath · Mindful Living

His Philosophy

Dentistry is not just about teeth.
It is about the whole breathing, living, feeling human being.

Align Breathe Balance

What We Offer

Services crafted
for the whole you.

Every treatment at Oval Dental is designed with one belief — that your smile, your breath, and your balance are inseparable.

01

Precision
Aligners

Subtle, comfortable, and expertly designed clear aligners that straighten teeth with accuracy and confidence.

Digital Orthodontics Aesthetic Precision Comfortable

What to expect

  • 3D digital scan — no impressions
  • Custom aligner series designed for you
  • Progress monitored every 6–8 weeks
  • Refinements included until perfect
  • Discreet, removable, comfortable
Book Appointment
15+ years of aligner expertise
03

Breath Facilitation
Therapy

Enhance posture, focus, and vitality through guided breathwork that harmonises body and mind.

Nasal Breathing Sleep Quality Performance

What to expect

  • Breathing pattern assessment
  • Guided nasal breathing techniques
  • Reduce mouth breathing habits
  • Improve sleep & stress response
  • Performance & posture training
Book Appointment
500hr certified breathwork training
Signature Experience

Transformative
Breath Consultation

A personalised one-on-one session that uncovers your unique breathing patterns and their impact on health, stress, and performance. Integrating science and mindfulness, Dr. Amit helps you restore balance — from your airway to your awareness.

  • Improve nasal breathing & reduce mouth breathing
  • Enhance sleep quality & recovery
  • Harmonise airway, stress, and performance
Book Consultation

Transformations

The work speaks
for itself.

Real patients. Real results. Drag the slider to reveal each transformation.

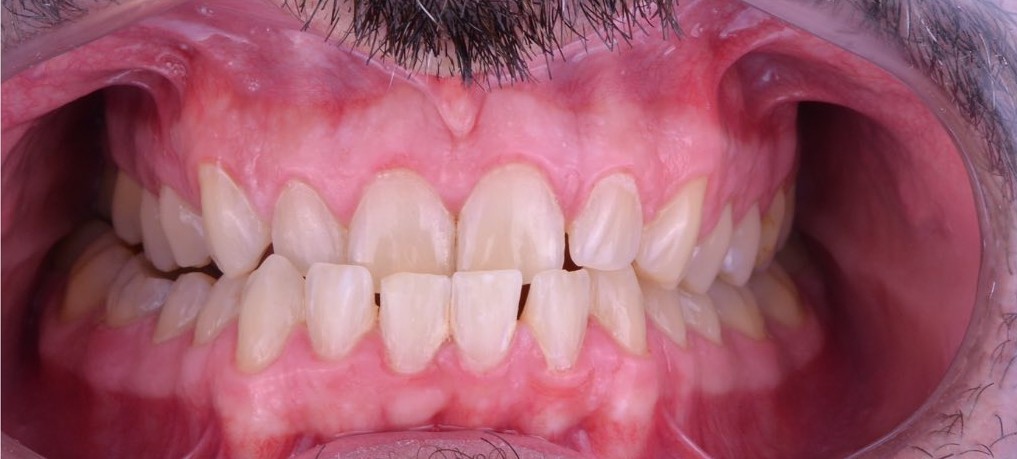
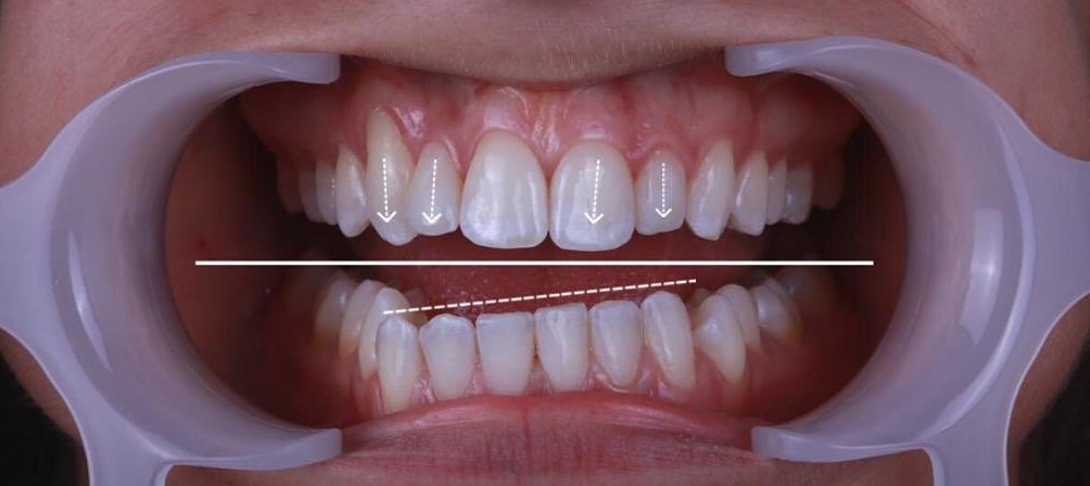
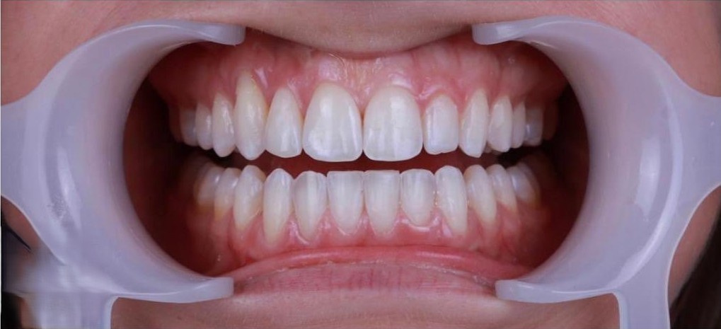
Case 01 Precision Alignment
After Case 01 After
After
Before Case 01 After
Before
12 months treatment Clear aligners only
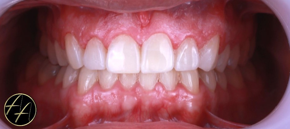
Case 02 Smile Refinement & Bonding
After Case 01 After
After
Before Case 01 After
Before
Single visit Composite bonding
Case 03 Full Arch Transformation
After Case 01 After
After
Before Case 01 After
Before
18 months treatment Aligners + bonding

✦  Actual patient photographs will be displayed here with full consent. The illustrations above represent case types treated at Oval Dental Clinic.

0 + Smiles Transformed
0 + Years Experience
0 Countries
0 % Patient Satisfaction

Patient Stories

Words from
those who've sat in the chair.

★★★★★
"From the first consultation I felt a great sense of confidence that I was going to get the perfect smile. Dr. Amit is kind, caring, empathetic — and most importantly an outstanding professional in his field. I couldn't be happier with the results."
Melissa A. Invisalign Patient · Dubai
★★★★★
"Dr. Amit was very friendly and professional! He made sure my treatment was completed to the fullest. Not only that — you get to watch Netflix while getting your treatment done. 1000 percent recommended."
Google Patient Invisalign Patient · Dubai
★★★★★
"Dr. Amit made sure my teeth were perfect. I was initially meant to wear aligners for only 4 months but he insisted I continue until my teeth were truly perfect — and I'm so glad I trusted his opinion."
Shahnaz A. Invisalign Patient · Dubai
★★★★★
"I look back at old photos and wonder why I didn't find this doctor earlier. My favourite thing about Dr. Amit is his honesty and transparency. His personality makes every visit enjoyable — and that's something I never thought I'd say about a dentist."
Ola H. Invisalign Patient · Dubai
★★★★★
"I have just finished my Invisalign with Dr. Amit and I am thrilled with the results. He was patient, encouraging, and reassuring throughout. I literally didn't think a smile like this was possible with my own teeth."
Amy K. Invisalign Patient · Dubai
★★★★★
"Simply the best! In less than 4 months my childhood insecurities about my smile have completely vanished. His energy as a dentist is unmatched in the UAE — he makes everyone feel like they're visiting a friend, not a dentist."
Aitssi I. Invisalign Patient · Dubai
★★★★★
"I am so glad I found Dr. Amit! He has made the whole Invisalign journey so easy and the results are amazing. His dedication and perfectionism really show in the results and the way he treats every patient."
Miriam J. Invisalign Patient · Dubai
★★★★★
"Dr. Amit helped give me back my smile after years of avoiding photos with friends and family. He walks you through every step and makes sure you are happy and comfortable. I have already recommended him to a friend."
Rami D. Invisalign Patient · Dubai

The mouth is the gateway to the body.
When it is balanced, everything breathes easier.

— Dr. Amit Asudani
Begin Your Journey

Your smile. Your breath. Your balance.

Book a consultation with Dr. Amit and discover what aligned, balanced care truly feels like.

No obligation
Same-week appointments
15+ years of patient trust
Oval Dental Clinic  ·  Dubai, UAE

Find Us

Come in.
We've been expecting you.

Book a Consultation

Tell us a little about yourself and we'll be in touch within 24 hours.

Message received.

Dr. Amit's team will reach out within 24 hours. We look forward to meeting you.

Now Accepting Patients

Oval Dental Clinic

Dubai, United Arab Emirates

Address Oval Dental Clinic
Dubai, UAE

Clinic Hours

Monday – Friday 9:00 AM – 6:00 PM Saturday 10:00 AM – 3:00 PM Sunday Closed

Every transformation begins with a single conversation.